Full Mouth Reconstruction - Puyallup & Everett, WA

Experience a Total Smile Transformation with Full Mouth Reconstruction

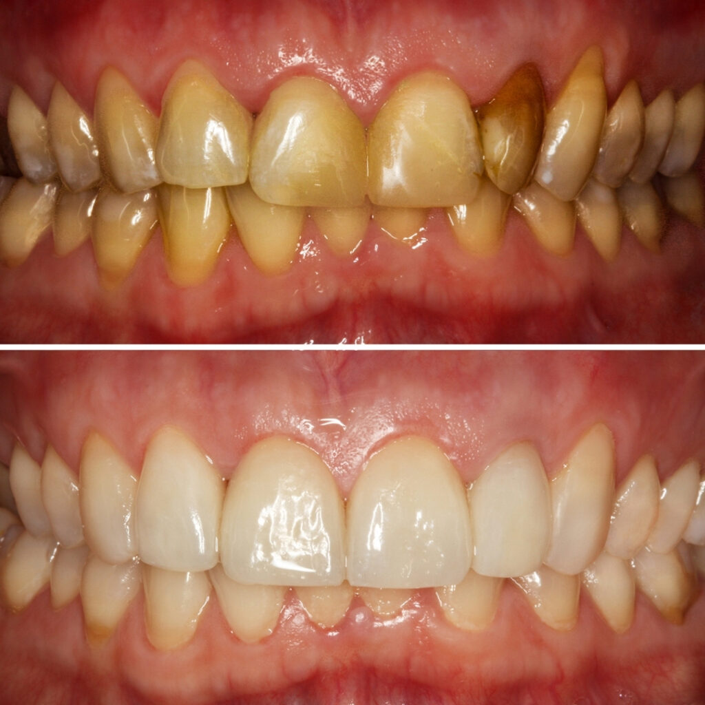
"I Needed A Permanent Solution, My Smile Meant Everything To Me."

"I Needed A Permanent Solution, My Smile Meant Everything To Me."

What Is a Full Mouth Reconstruction?

Are you struggling with oral health issues, diminished quality of life, or low self-esteem due to damaged or missing teeth? Our Everett & Puyallup, WA team specializes in full mouth reconstruction, offering personalized plans and advanced procedures to restore oral function and enhance confidence. Using cutting-edge technology, we ensure optimal outcomes, allowing you to enjoy your favorite foods again.

Full mouth reconstruction goes beyond cosmetic smile makeovers by addressing dental function, bite alignment, facial support, and jaw joint health. Our tailored procedures comprehensively rehabilitate all teeth, whether caused by accidents, chronic pain, misalignment, or severe decay. If you need extensive dental restoration, our reconstructive solutions can help you regain a healthy, functional smile.

The Conditions We Address with a Full Mouth Reconstruction

Why Your Oral Function Matters

When restoring your smile, it’s not just about looking good—it’s about making sure your mouth works how it should. Chewing, speaking, and swallowing properly significantly affect your overall health. Missing teeth, gum disease, or a misaligned bite aren’t just dental problems; they can snowball into systemic issues like poor nutrition, digestive trouble, or chronic inflammation that affects the whole body.

A healthy, balanced bite also helps prevent TMJ disorders, which can cause persistent jaw pain, headaches, and even neck and shoulder tension. So while the aesthetic of your smile matters, the function is the foundation for a healthy, long-lasting smile. Without it, even the most beautiful smile can become a source of pain and frustration.

The Proof Is In Our Patients

How a Restored Smile Can Improve Your Health and Confidence

Our Customized Dental Reconstruction Treatments

A dental crown, also called a tooth cap, covers the entire visible part of a tooth, providing protection and aesthetic improvement. In Everett & Puyallup, WA, crowns are essential for safeguarding teeth with significant damage, decay, or following root canal therapy. They not only strengthen teeth but also enhance their appearance.

Dental bridges, on the other hand, use crowns placed on healthy teeth adjacent to a gap to support a false tooth (pontic). This prevents neighboring teeth from shifting, restores jaw function, and improves chewing and speech. While bridges can restore facial shape, it’s important to note that bone loss may occur underneath the false tooth.

Occlusion describes how your upper and lower teeth fit together when chewing or with your mouth closed. Occlusal adjustment involves carefully altering tooth surfaces to remove interferences (high points) and improve how your teeth come together. A quick and straightforward occlusal adjustment is often required after getting a filling, inlay, onlay, dental crown, or bridge.

Invisalign utilizes a sequence of clear, removable aligners to effectively straighten teeth free from the discomfort of traditional metal wires and brackets. Each set of aligners is worn for approximately two weeks and only removed for eating, drinking, and oral care, allowing gradual and gentle alignment throughout 12 to 18 months.

This treatment method provides convenience and comfort and ensures consistent progress toward achieving the desired teeth alignment and a confident smile.

Dental implants are the number one solution for replacing one or more missing teeth. The titanium post is surgically placed in your jawbone and functions like a natural tooth root. After the fusion process, you’ll receive a customized crown, bridge, or full mouth prosthesis crafted from highly durable and beautiful zirconia that fully restores your smile’s function and beauty.

Full and partial dentures offer effective solutions for replacing missing teeth and restoring oral function. Full dentures replace all teeth in a dental arch and are supported by the gums and underlying bone structure.

They are custom-made to fit comfortably and improve chewing and speaking abilities. Partial dentures are designed to fill gaps where some natural teeth remain, using clasps or attachments to secure them and prevent adjacent teeth from shifting. They enhance aesthetics, support facial contours, and maintain oral health.

Oral surgery encompasses various procedures to treat multiple dental and oral conditions. It often includes tooth extraction, wisdom teeth removal, jaw surgery, and dental implant placement. Oral surgery is crucial in correcting dental issues, alleviating pain, and restoring oral health and function.

brush underline

Complete this short smile Evaluation and receive the following:

brush underline

If you're a good candidate for veneers

A Digital Smile Design to show you what you will look like with your new veneers!

Learn about personalized treatment recommendations.

A personalized consultation with Dr. Sharma’s highly trained staff.

Puyallup

Everett