Full Mouth Dental Implants - Puyallup & Everett, WA

Transform Your Smile and Life with Streamlined Full-Arch Dental Implants

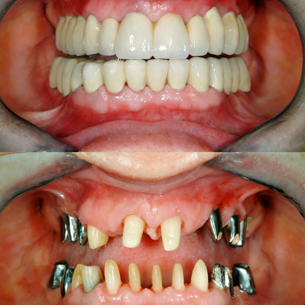
"I Took My Teeth For Granted And Paid A High Price For It."

"I Took My Teeth For Granted And Paid A High Price For It."

Play Video

Full-Mouth Dental Implants Deliver a Lifetime of Dental Confidence

At Avenue Dental Care, you can walk into our practice and leave the same day with a brand-new smile! All-on-X full-mouth dental implants provide the flexibility to customize surgery based on your unique clinical needs. Whether you receive four, six, or eight implants per arch, full-arch dental implants in Everett and Puyallup, WA, provide superb functionality and natural-feeling comfort!

Experience the Amazing Benefits of Same-Day Teeth

With All-on-X full-mouth dental implants, our Everett and Puyallup, WA, team strategically places implants in areas of your jawbone that are naturally stronger and thicker.

Because You Deserve a Permanent Smile Solution Tailored to You

Unlike cookie-cutter approaches used at many larger practices, full-mouth dental implants in Everett and Puyallup, WA, are tailored specifically to you.

We craft personalized treatment plans by carefully evaluating your unique dental needs, goals, and facial aesthetics. Our dentists and periodontists focus on creating a natural-looking and feeling implant-retained smile that supports your long-term oral health.

Am I A Candidate for Implants?

Eat, Speak, and Smile Freely Again with Our Implant Expertise

The Consultation

During your complimentary consultation, an oral exam, digital scans, and a discussion of your goals will help determine if full-arch dental implants are right for you. The Avenue Dental Care team will answer all your questions and provide a cost estimate to ensure you make an informed decision before proceeding.

doctor pointing at an xray on a computer screen in a dental office

The Procedure

During your full-mouth dental implants procedure in Everett and Puyallup, WA, you’ll rest under IV sedation or general anesthesia. Your trust in our team is a top priority—from implant placement to securing your temporary teeth.

The Follow-Up Visits

Regular follow-up visits are scheduled to monitor your healing, ensure implant stability, and make necessary adjustments. These visits are key to ensuring a smooth recovery and long-term success.

The Placement of Your Final Teeth

After healing is complete, we replace your temporary teeth with a final, custom-designed zirconia prosthesis. Crafted for comfort, function, and a natural appearance, your new smile is built to last!

The Proof Is In Our Patients

Full-Arch Dental Implants Deliver Invaluable Lifelong Benefits

We understand the cost of full-mouth dental implants in Everett and Puyallup, WA, can pose a considerable barrier to restoring your smile. In addition to free consultations and competitive prices, we offer several third-party financing options.

Where Compassionate Care Meets Unmatched Expertise

Play Video
Play Video
Play Video

Schedule An Appointment

I understand the information disclosed in this form may be subject to re-disclosure and may no longer be protected by HIPAA privacy regulations and the HITECH Act.

Find out if you're a

candidate for dental implants

Answer the Following Questions To Learn more about our pricing and financing options.

Puyallup

Everett